ブログ
2016/04/08
4月8日(金)に、4月度高松平和病院レントゲンカンファレンスがありました。
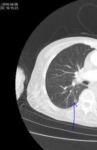
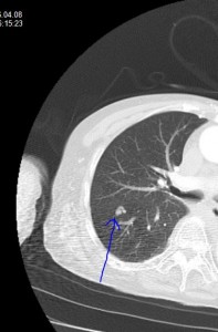
「肺動脈静脈瘻」について学びました。

肺炎も肺梗塞もないのに、著明な低酸素血症を呈します。
CT画像ではあまり目立たないクリっとしたコイルのような血管がみえます。血液ガスではシャントが存在するので、PO2、PCO2ともに低下します(A-aDO2が開大します)
次回のレントゲンカンファレンスは、
2016年5月20日(金)19:00~高松平和病院2F医局カンファレンスルームです。

学生がDrからアドバイスを受けているようす
高松平和病院レントゲンカンファレンスは医学生さんの参加をお待ちしています!参加希望の方は、メールまたは電話にてご連絡ください!
高松平和病院 医局 医学生担当:中田まで
Mail:heiwahp@gmail.com tel:087-833-8113(代)
各種情報は、あなぶきヘルスケア株式会社が調査した情報を基に掲載しています。
正確な情報掲載を務めておりますが、内容を完全に保証するものではありません。
掲載されている施設への受診や訪問及び求職する場合は、事前に必ず該当の施設に直接ご確認ください。
当サービスによって生じた損害について、あなぶきヘルスケア株式会社ではその賠償の責任を一切負わないものとします。
情報に誤りがある場合には、お手数をおかけいたしますが、あなぶきヘルスケア株式会社までご連絡をお願いいたします。