ブログ
2016/07/29
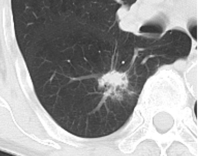
肺気腫がベースにある77歳の患者さん。
発熱、咳症状、炎症反応上昇にて来院。胸部X線に異常があり、CT施行。これを限局性肺炎ととるか、肺癌ととるか。結局厳重な経過観察となりました。

次回のレントゲンカンファレンスは、 2016年8月19日(金)19:00~高松平和病院2F医局カンファレンスルームです。
高松平和病院レントゲンカンファレンスは医学生さんの参加をお待ちしています!参加希望の方は、メールまたは電話にてご連絡ください! 高松平和病院 医局 医学生担当:中田まで Mail:heiwahp@gmail.com tel:087-833-8113(代)
各種情報は、あなぶきヘルスケア株式会社が調査した情報を基に掲載しています。
正確な情報掲載を務めておりますが、内容を完全に保証するものではありません。
掲載されている施設への受診や訪問及び求職する場合は、事前に必ず該当の施設に直接ご確認ください。
当サービスによって生じた損害について、あなぶきヘルスケア株式会社ではその賠償の責任を一切負わないものとします。
情報に誤りがある場合には、お手数をおかけいたしますが、あなぶきヘルスケア株式会社までご連絡をお願いいたします。