ブログ
2017/05/16
善通寺 丸亀で足首を捻挫したり、骨折したりした場合に受診する整形外科病院といえばふじた医院
こんにちは。ふじた医院の藤田博崇です。
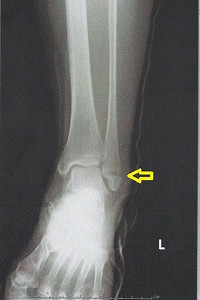
足首捻挫と骨折の違いとは?
さて、なぜ同じように足を捻ったのに捻挫で済む場合と骨折してしまう場合があるのでしょうか?
それに答えるのは簡単ではありませんが、怪我をした時の
足首の動き方
力のかかる方向
力の大きさ
などの要素が組み合わさって、ある条件を満たすと骨折してしまうのです。

そもそも、怪我は体が耐えられる以上の力がかかった時に生じます。そして、体のどこかが耐えきれずに破綻するのですが、それが靭帯であれば捻挫、骨であれば骨折となります。

普通は靭帯よりも骨の方が頑丈なイメージがあるので、小さな力なら捻挫で、大きな力がかかると骨折と考えるかもしれません。
しかし、そう単純ではなく靭帯も骨も力のかかる方向によって強かったり弱かったりします。
例えば、骨は普通に折ろうと思ってもなかなか難しいですが、ぞうきんを絞るようにねじる方向には弱いと言われています。
ちょっとした力の方向やかかり方によって捻挫になる場合と骨折になる場合があるのです。
このように、もし私自身が怪我の瞬間を見ていても、それが捻挫か骨折かを言い当てるのは簡単ではありません。
ですから、ちょっとでもおかしいなと思ったら、
病院でレントゲンを撮ってもらうのが最も早くて正確な方法です。
骨折や捻挫を早く直す治療法は
香川・善通寺で交通事故治療といえば「ふじた医院」
医師:藤田博崇
時間:8:30~18:00(土曜日営業、木曜日は13:00まで営業、日祝日休診)
入院あり
住所:香川県善通寺市上吉田町4-5-1
電話:0877-62-0555
詳細はご予約完了時にお伝えしております。
・診療内容
・求人募集
香川県丸亀市、三豊市、高瀬町、琴平町、観音寺市、財田町、三野町、仁尾町、宇多津町、満濃町、多度津町、綾歌町、宅間町、坂出市など広い範囲からお越し頂いております。
交通事故による痛み、むちうちの症状、首の捻挫(頸椎捻挫、むちうち、首の痛み)、腰の捻挫(腰椎捻挫、腰の痛み)、けが、切り傷、打ち身(うちみ)、打撲、捻挫(ねんざ)、骨折、脱臼、やけど、ぎっくり腰、肉離れ等後遺症で悩まれている患者様をトータルで治療し、保険(自賠責保険、労災保険等)にも対応している整形外科病院です。
各種情報は、あなぶきヘルスケア株式会社が調査した情報を基に掲載しています。
正確な情報掲載を務めておりますが、内容を完全に保証するものではありません。
掲載されている施設への受診や訪問及び求職する場合は、事前に必ず該当の施設に直接ご確認ください。
当サービスによって生じた損害について、あなぶきヘルスケア株式会社ではその賠償の責任を一切負わないものとします。
情報に誤りがある場合には、お手数をおかけいたしますが、あなぶきヘルスケア株式会社までご連絡をお願いいたします。