バベシア症

ブログ

2017/10/10

皆さん、秋のマダニ予防はしっかり忘れずできてますでしょうか?

 

春先から夏にかけてはフィラリア予防もあり、同時にマダニ予防も忘れないのですが、秋になると少し油断が出るようです。

 

マダニにより媒介されるバベシア症、重篤な貧血を引き起こし致命的になることもある病気です。

当院でも今年初症例が見つかりました。

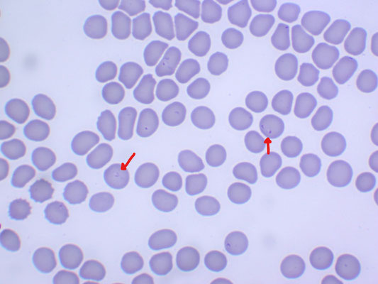
(写真は当症例の血液塗抹です。赤血球内にバベシア虫体を認めます。)

 

香川県では基本的に一年中の予防が推奨されています。

お忘れの方は必ず予防してくださいね。


掲載情報について

各種情報は、あなぶきヘルスケア株式会社が調査した情報を基に掲載しています。
正確な情報掲載を務めておりますが、内容を完全に保証するものではありません。

掲載されている施設への受診や訪問及び求職する場合は、事前に必ず該当の施設に直接ご確認ください。
当サービスによって生じた損害について、あなぶきヘルスケア株式会社ではその賠償の責任を一切負わないものとします。
情報に誤りがある場合には、お手数をおかけいたしますが、あなぶきヘルスケア株式会社までご連絡をお願いいたします。