ブログ
2018/06/02
大腿骨骨折で入院し集中的にリハビリを行ないましょう。
こんにちは。ふじた医院の藤田博崇です。
「交通事故にあい、大腿骨骨折で手術をすることになりました。大腿骨骨折の手術の合併症、治療の仕方を教えてください。」
と、腰の痛みでふじた医院にリハビリに通われている患者様に質問を受けました。

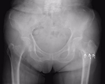
大腿骨の内側顆と外側顆の近位で折れた大腿骨骨折を大腿骨顆上骨折といいます。

観血的整復固定術とは、手術で切開を加えて、患部露出(血を観るので、観血的)して、解剖学的に正しい位置に骨折部を整復し、内固定材で固定をするのです。
内固定材に何を使ったか、切開の部位によって起こりうる合併症(神経麻痺など)、術後早期に気をつける点(ROM訓練、筋力強化、創からの出血量、神経麻痺、安静度など)がポイントです。
通常、内固定はプレート固定だとおもいます。外固定(ギプス)を加えていれば、腓骨(ひこつ)神経麻痺に気をつけます。
外固定がなければ、ドクターの指示のもと、関節拘縮をおこさないようにCPMというマシンでROM運動をすぐに始めます。
創部からの出血は2,3日で落ち着くのでドレーンは2-3日で医師が抜くはずです。
出血が多ければ、貧血に注意します。
血圧、脈の監視は看護師さんの重要な仕事といえます。
あとは、熱などのバイタルも重要。
熱が高ければ感染を疑い、抗生剤を変更します。
後遺症として、膝関節の拘縮、筋力低下がもっとも重要ですが、術後は脂肪塞栓にも気をつける必要があります。
高齢者であれば、長期臥床で痴呆の出現にも気をつけましょう。
状態が安定すれば、リハビリをします。
ふじた医院では外来はもちろん入院し、集中的に治療を行なうことで早く回復できるようにサポートします。
ふじた医院の交通事故治療についてはこちら
香川・善通寺で交通事故治療といえば「ふじた医院」
医師:藤田博崇
時間:8:30~18:00(土曜日営業、木曜日は13:00まで営業、日祝日休診)
入院あり
住所:香川県善通寺市上吉田町4-5-1
電話:0877-62-0555
詳細はご予約完了時にお伝えしております。
・診療内容
香川県丸亀市、三豊市、高瀬町、琴平町、観音寺市、財田町、三野町、仁尾町、宇多津町、まんのう町、多度津町、綾歌町、詫間町、坂出市など広い範囲からお越し頂いております。
30年間にわたり、のべ1万件の交通事故患者様を診察し、治療してきた実績をもとに、交通事故治療の専門医が痛みの根本原因を明確にし、リハビリテーションによる機能改善までトータルサポートする整形外科病院です。
交通事故による痛み、むちうちの症状、首の捻挫(頸椎捻挫、むちうち、首の痛み)、腰の捻挫(腰椎捻挫、腰の痛み)、けが、切り傷、打ち身(うちみ)、打撲、捻挫(ねんざ)、骨折、脱臼、やけど、肉離れ等後遺症で悩まれている患者様をトータルで治療し、保険(自賠責保険、労災保険等)にも対応している整形外科病院です。
各種情報は、あなぶきヘルスケア株式会社が調査した情報を基に掲載しています。
正確な情報掲載を務めておりますが、内容を完全に保証するものではありません。
掲載されている施設への受診や訪問及び求職する場合は、事前に必ず該当の施設に直接ご確認ください。
当サービスによって生じた損害について、あなぶきヘルスケア株式会社ではその賠償の責任を一切負わないものとします。
情報に誤りがある場合には、お手数をおかけいたしますが、あなぶきヘルスケア株式会社までご連絡をお願いいたします。