ブログ
2019/08/27
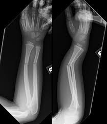
手首の骨折で気をつけること!
こんにちは。ふじた医院の藤田博崇です。
手首の骨折の合併症
手首を骨折したときは、骨折単独ではなく靭帯や腱を巻き込んで起こることがあります。
また外傷をともなう複雑骨折や開放骨折の場合は、感染症などの合併症を起こすこともあります。
完全に折れた完全骨折ではなく、ヒビなどの不完全骨折の場合は、腱鞘炎や捻挫と勘違いして処置が遅れたり、気づかないまま固まったりすることがあります。
捻挫とは、症状に違いがあります。


香川・善通寺で交通事故治療といえば「ふじた医院」
医師:藤田博崇
時間:8:30~18:00(土曜日営業、木曜日は13:00まで営業、日祝日休診)
入院あり
住所:香川県善通寺市上吉田町4-5-1
電話:0877-62-0555
詳細はご予約完了時にお伝えしております。
香川県丸亀市、坂出市、三豊市、観音寺市、高瀬町、琴平町、財田町、宇多津町、満濃町、多度津町など広い範囲からお越し頂いております。
交通事故による痛み、むちうちの症状、首の捻挫(頸椎捻挫、むちうち、首の痛み)、腰の捻挫(腰椎捻挫、腰の痛み)、けが、切り傷、打ち身(うちみ)、打撲、捻挫(ねんざ)、骨折、脱臼、やけど、肉離れ等後遺症で悩まれている患者様をトータルで治療し、保険(自賠責保険、労災保険等)にも対応している整形外科病院です。
各種情報は、あなぶきヘルスケア株式会社が調査した情報を基に掲載しています。
正確な情報掲載を務めておりますが、内容を完全に保証するものではありません。
掲載されている施設への受診や訪問及び求職する場合は、事前に必ず該当の施設に直接ご確認ください。
当サービスによって生じた損害について、あなぶきヘルスケア株式会社ではその賠償の責任を一切負わないものとします。
情報に誤りがある場合には、お手数をおかけいたしますが、あなぶきヘルスケア株式会社までご連絡をお願いいたします。