ブログ
2017/12/30
高松市松福町のらく楽歯科クリニック、
院長の田村です。
今日が今年最後の診療です。
昨日はたくさんの初診・急患の患者様にご来院いただきました。
歯科医師として、少しでも皆様のお役にたてれば本当にうれしく思います。
最初、不安な表情で来院された患者様が、お帰りの際には笑顔になっていただける。
歯科医師になってよかったと心から思える一瞬です。
同時に痛感します。
やっぱり定期健診って大事だな、と・・・。
来年も引き続き、予防の大切さを訴えてまいります。
*:..。o○☆゚・:,。*:..。o○☆*:..。o○☆゚・:,。*:..。o○☆*:..。o○☆゚・:,。*:..。o○☆
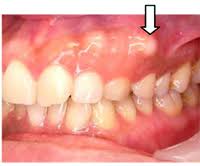
お口の中に、このような“コブ”はありませんか?

これは“下顎隆起”といいます。
下顎の内側にできます。

こちらは“歯槽骨隆起”。
上下の顎の外側にできます。
これは、骨が過成長したものです。
原因は、
・強いかみ合わせ
・歯ぎしり
・くいしばり
と言われています。
この“コブ”があるということは、日常的に歯ぎしりやくいしばりをしていると考えてほぼ間違いありません。
では、歯ぎしりやくいしばりを放置するとどんな悪影響があるのか?
歯ぎしりやくいしばりによって日常的に歯に負荷がかかると、まず歯が削れてきます。
すると、水がしみるなど、よく耳にする“知覚過敏”の症状が現れてきます。
その後、今度は歯の根元が軋(きし)んできて、歯やアゴの痛みとして症状が出てきます。
さらに放置し続けると、歯がぐらぐらしたり、ついには歯が割れるということになってしまいます。
なので、“コブ”がなくても、原因不明の歯やアゴの痛みにお悩みの方もぜひ一度歯科医師に相談してください。
治療法としては、過度の負荷を取り除くために
マウスピース
を就寝時につけてもらうようになります。


当院では上顎のみ、厚さ0.8mmのものを提供しており、違和感はほとんどありません。
また、保険適用ですので、費用の面も安心です。
特に就寝中の歯ぎしりは自分では気が付きませんから、心配な方は一度歯科医師に御相談ください。
◆◇◆◇◆◇◆◇◆◇◆◇◆◇◆◇◆◇◆◇◆◇◆◇◆◇◆◇◆
医療法人社団らく楽会
らく楽歯科クリニック
087-851-3500
各種情報は、あなぶきヘルスケア株式会社が調査した情報を基に掲載しています。
正確な情報掲載を務めておりますが、内容を完全に保証するものではありません。
掲載されている施設への受診や訪問及び求職する場合は、事前に必ず該当の施設に直接ご確認ください。
当サービスによって生じた損害について、あなぶきヘルスケア株式会社ではその賠償の責任を一切負わないものとします。
情報に誤りがある場合には、お手数をおかけいたしますが、あなぶきヘルスケア株式会社までご連絡をお願いいたします。